Lichenoid eruption
| Lichenoid eruption | |
|---|---|
![]() | |
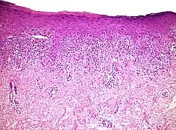
| Histopathology of lichenoid drug reaction. It resembles lichen planus because of irregular epithelial hyperplasia, focal hypergranulosis, orthokeratosis, and a “saw-tooth” pattern of rete ridges. | |
| Specialty | Dermatology |
A lichenoid eruption is a skin disease characterized by damage and infiltration between the epidermis and dermis.[1]
Examples include lichen planus, lichen sclerosus and lichen nitidus. It can also be associated with abrasion or drug use.[2] It has been observed in conjunction with the use of proton pump inhibitors, and might be a sign and/or symptom of lupus such as subacute cutaneous lupus erythematous, according to the case reports and reviews.[3][4][5][6]
The term "lichenoid" derives from a resemblance to a lichen.
References
- ^ Lichenoid+eruptions at the U.S. National Library of Medicine Medical Subject Headings (MeSH)
- ^ "White : Diseases of the Skin - Lichen Planus and Lichenoid Disorders".
- ^ Brauer, J; Votava, HJ; Meehan, S; Soter, NA (2009-08-15). "Lichenoid drug eruption". Dermatology Online Journal. 15 (8): 13. ISSN 1087-2108. PMID 19891921.
- ^ Bong JL, Lucke TW, Douglas WS (January 2000). "Lichenoid drug eruption with proton pump inhibitors". BMJ. 320 (7230): 283. doi:10.1136/bmj.320.7230.283. PMC 27275. PMID 10650025.
- ^ Tukenmez Demirci, Gulsen; Altunay, Ilknur Kivanc; Sarikaya, Sezgi; Sakiz, Damlanur (2011-11-25). "Lupus erythematosus and lichen planus overlap syndrome: a case report with a rapid response to topical corticosteroid therapy". Dermatology Reports. 3 (3). PAGEPress Publications: 48. doi:10.4081/dr.2011.e48. ISSN 2036-7406. PMC 4211510. PMID 25386300.
- ^ Solhjoo, M; Ho, CH; Chauhan, K (2019), "article-24529", Drug-Induced Lupus Erythematosus, Treasure Island (FL): StatPearls Publishing, PMID 28722919, retrieved 2019-12-18
