Intrauterine growth restriction

Intrauterine growth restriction
Other namesFetal growth restriction (FGR),[1][2] intrauterine growth retardation,[3][4]
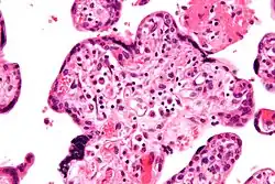
Micrograph of villitis of unknown etiology, a placental pathology associated with IUGR. H&E stain.
SpecialtyPediatrics, obstetrics Edit this on Wikidata

Intrauterine growth restriction (IUGR), or fetal growth restriction, is the poor growth of a fetus while in the womb during pregnancy. IUGR is defined by clinical features of malnutrition and evidence of reduced growth regardless of an infant's birth weight percentile.[5] The causes of IUGR are broad and may involve maternal, fetal, or placental complications.[6]

At least 60% of the 4 million neonatal deaths that occur worldwide every year are associated with low birth weight, caused by intrauterine growth restriction (IUGR), preterm delivery, and genetic abnormalities,[7] demonstrating that under-nutrition is already a leading health problem at birth.

Intrauterine growth restriction can result in a baby being small for gestational age (SGA), which is most commonly defined as a weight below the 10th percentile for the gestational age.[8] At the end of pregnancy, it can result in a low birth weight.

Types

There are two major categories of IUGR: pseudo IUGR and true IUGR

With pseudo IUGR, the fetus has a birth weight below the tenth percentile for the corresponding gestational age but has a normal ponderal index, subcutaneous fat deposition, and body proportion. Pseudo IUGR occurs due to uneventful intrauterine course and can be rectified by proper postnatal care and nutrition. Such babies are also called small for gestational age.

True IUGR occurs due to pathological conditions which may be either fetal or maternal in origin. In addition to low body weight they have abnormal ponderal index, body disproportion, and low subcutaneous fat deposition. There are two types-symmetrical and asymmetrical.[9][10] Some conditions are associated with both symmetrical and asymmetrical growth restriction.

Asymmetrical

Asymmetrical IUGR accounts for 70-80% of all IUGR cases.[11] In asymmetrical IUGR, there is decreased oxygen or nutrient supply to the fetus during the third trimester of pregnancy due to placental insufficiency.[12] This type of IUGR is sometimes called "head sparing" because brain growth is typically less affected, resulting in a relatively normal head circumference in these children.[13] Because of decreased oxygen supply to the fetus, blood is diverted to the vital organs, such as the brain and heart. As a result, blood flow to other organs - including liver, muscle, and fat - is decreased. This causes abdominal circumference in these children to be decreased.[13]

A lack of subcutaneous fat leads to a thin and small body out of proportion with the liver. Normally at birth the brain of the fetus is 3 times the weight of its liver. In IUGR, it becomes 5-6 times. In these cases, the embryo/fetus has grown normally for the first two trimesters but encounters difficulties in the third, sometimes secondary to complications such as pre-eclampsia. Other symptoms than the disproportion include dry, peeling skin and an overly-thin umbilical cord. The baby is at increased risk of hypoxia and hypoglycemia. This type of IUGR is most commonly caused by extrinsic factors that affect the fetus at later gestational ages. Specific causes include:

Symmetrical

Symmetrical IUGR is commonly known as global growth restriction, and indicates that the fetus has developed slowly throughout the duration of the pregnancy and was thus affected from a very early stage. The head circumference of such a newborn is in proportion to the rest of the body. Since most neurons are developed by the 18th week of gestation, the fetus with symmetrical IUGR is more likely to have permanent neurological sequelae. Common causes include:

Causes

IUGR is caused by a variety of factors; these can be fetal, maternal, placental or genetic factors.[11]

Maternal

Uteroplacental

Fetal

Genetic

  • Placental genes
  • Maternal genes: Endothelin-1 over-expression, Leptin under-expression
  • Fetal genes

Pathophysiology

If the cause of IUGR is extrinsic to the fetus (parental or uteroplacental), transfer of oxygen and nutrients to the fetus is decreased. This causes a reduction in the fetus' stores of glycogen and lipids. This often leads to hypoglycemia at birth. Polycythemia can occur secondary to increased erythropoietin production caused by the chronic hypoxemia. Hypothermia, thrombocytopenia, leukopenia, hypocalcemia, and bleeding in the lungs are often results of IUGR.[5]

Infants with IUGR are at increased risk of perinatal asphyxia due to chronic hypoxia, usually associated with placental insufficiency, placental abruption, or a umbilical cord accident.[16] This chronic hypoxia also places IUGR infants at elevated risk of persistent pulmonary hypertension of the newborn, which can impair an infant's blood oxygenation and transition to postnatal circulation.[17]

If the cause of IUGR is intrinsic to the fetus, growth is restricted due to genetic factors or as a sequela of infection. IUGR is associated with a wide range of short- and long-term neurodevelopmental disorders.

Cardiovascular

In IUGR, there is an increase in vascular resistance in the placental circulation, causing an increase in cardiac afterload. There is also increased vasoconstriction of the arteries in the periphery, which occurs in response to chronic hypoxia in order to preserve adequate blood flow to the fetus' vital organs.[18] This prolonged vasoconstriction leads to remodeling and stiffening of the arteries, which also contributes to the increase in cardiac afterload. Therefore, the fetal heart must work harder to contract during each heartbeat, which leads to an increase in wall stress and cardiac hypertrophy.[19] These changes in the fetal heart lead to increased long-term risk of hypertension, atherosclerosis, cardiovascular disease, and stroke.[19]

Pulmonary

Normal lung development is interrupted in fetuses with IUGR, which increases their risk for respiratory compromise and impaired lung function later in life. Preterm infants with IUGR are more likely to have bronchopulmonary dysplasia (BPD), a chronic lung disease that is thought to be associated with prolonged use of mechanical ventilation.[19]

Neurological

IUGR is associated with long-term motor deficits and cognitive impairment.[19] In order to adapt to the chronic hypoxia associated with placental insufficiency, blood flow is redirected to the brain to try to preserve brain growth and development as much as possible. Even though this is thought to be protective, fetuses with IUGR who have undergone this brain-sparing adaptation have worse neurological outcomes compared with those who have not undergone this adaptation.[20]

Magnetic resonance imaging (MRI) can detect changes in volume and structural development of infants with IUGR compared with those whose growth is appropriate for gestational age (AGA). But MRI is not easily accessible for all patients.[19]

White matter effects – In postpartum studies of infants, it was shown that there was a decrease of the fractal dimension of the white matter in IUGR infants at one year corrected age. This was compared to at term and preterm infants at one year adjusted corrected age.

Grey matter effects – Grey matter was also shown to be decreased in infants with IUGR at one year corrected age.[21]

Children with IUGR are often found to exhibit brain reorganization including neural circuitry.[22] Reorganization has been linked to learning and memory differences between children born at term and those born with IUGR.[23]

Studies have shown that children born with IUGR had lower IQ. They also exhibit other deficits that point to frontal lobe dysfunction.[24]

IUGR infants with brain-sparing show accelerated maturation of the hippocampus which is responsible for memory.[25] This accelerated maturation can often lead to uncharacteristic development that may compromise other networks and lead to memory and learning deficiencies.

Management

Mothers whose fetus is diagnosed with intrauterine growth restriction can be managed with several monitoring and delivery methods. It is currently recommended that any fetus that has growth restriction and additional structural abnormalities should be evaluated with genetic testing.[6] In addition to evaluating the fetal growth velocity, the fetus should primarily be monitored by ultrasonography every 3–4 weeks.[6] An additional monitoring technique is an Doppler velocimetry. Doppler velocimetry is useful in monitoring blood flow through the uterine and umbilical arteries, and may indicate signs of uteroplacental insufficiency.[26] This method may also detect blood vessels, specifically the ductus venosus and middle cerebral arteries, which are not developing properly or may not adapt well after birth.[26] Monitoring via Doppler velocimetry has been shown to decrease the risk of morbidity and mortality before and after parturition among IUGR patients.[27] Standard fetal surveillance via nonstress tests and/or biophysical profile scoring is also recommended.[26][6] Bed rest has not been found to improve outcomes and is not typically recommended.[28] There is currently a lack of evidence supporting any dietary or supplemental changes that may prevent the development of IUGR.[6]

The optimal timing of delivery for a fetus with IUGR is unknown. However, the timing of delivery is currently based on the cause of IUGR[6] and parameters collected from the umbilical artery doppler. Some of these include: pulsatility index, resistance index, and end-diastolic velocities, which are measurements of the fetal circulation.[27] Fetuses with an anticipated delivery before 34 weeks gestation are recommended to receive corticosteroids to facilitate fetal maturation.[6][29] Anticipated births before 32 weeks should receive magnesium sulfate to protect development of the fetal brain.[30]

Outcomes

Postnatal complications

After correcting for several factors such as low gestational parental weight, it is estimated that only around 3% of pregnancies are affected by true IUGR. 20% of stillborn infants exhibit IUGR. Perinatal mortality rates are 4-8 times higher for infants with IUGR, and morbidity is present in 50% of surviving infants.[31] Common causes of mortality in fetuses/infants with IUGR include: severe placental insufficiency and chronic hypoxia, congenital malformations, congenital infections, placental abruption, cord accidents, cord prolapse, placental infarcts, and severe perinatal depression.[5]

IUGR is more common in preterm infants than in full term (37–40 weeks gestation) infants, and its frequency decreases with increasing gestational age. Relative to premature infants who do not exhibit IUGR, premature infants with IUGR are more likely to have adverse neonatal outcomes, including respiratory distress syndrome, intraventricular hemorrhage, and necrotizing enterocolitis. This association with prematurity suggests utility of screening for IUGR as a potential risk factor for preterm labor.[32]

Feeding intolerance, hypothermia, hypoglycemia, and hyperglycemia are all common in infants in the postnatal period, indicating the need to closely manage these patients' temperature and nutrition.[33] Furthermore, rapid metabolic and physiologic changes in the first few days after birth can yield susceptibility to hypocalcemia, polycythemia, immunologic compromise, and renal dysfunction.[34][35]

Long-term consequences

According to the theory of thrifty phenotype, intrauterine growth restriction triggers epigenetic responses in the fetus that are otherwise activated in times of chronic food shortage. If the offspring actually develops in an environment where food is readily accessible, it may be more prone to metabolic disorders, such as obesity and type II diabetes.[36]

Infants with IUGR may continue to show signs of abnormal growth throughout childhood. Infants with asymmetric IUGR (head-sparing) typically have more robust catch-up postnatal growth, as compared with infants with symmetric IUGR, who may remain small throughout life. The majority of catch-up growth occurs in the first 6 months of life, but can continue throughout the first two years. Approximately 10% of infants who are small for gestational age due to IUGR will still have short stature in late childhood.[37]

Infants with IUGR are also at elevated risk for neurodevelopmental abnormalities, including motor delay and cognitive impairments. Low IQ in adulthood may occur in up to one third of infants born small for gestational age due to IUGR. Infants who fail to display adequate catch-up growth in the first few years of life may exhibit worse outcomes.[38][39]

Catch-up growth can alter fat distribution in children diagnosed with IUGR as infants and increase risk of metabolic syndrome.[40] Infants with IUGR may be susceptible to long-term dysfunction of several endocrine processes, including growth hormone signaling, the hypothalamic-pituitary-adrenal axis, and puberty.[41] Renal dysfunction, disrupted lung development, and impaired bone metabolism are also associated with IUGR.[42]

Animals

In sheep, intrauterine growth restriction can be caused by heat stress in early to mid pregnancy. The effect is attributed to reduced placental development causing reduced fetal growth.[43][44][45] Hormonal effects appear implicated in the reduced placental development.[45] Although early reduction of placental development is not accompanied by concurrent reduction of fetal growth;[43] it tends to limit fetal growth later in gestation. Normally, ovine placental mass increases until about day 70 of gestation,[46] but high demand on the placenta for fetal growth occurs later. (For example, research results suggest that a normal average singleton Suffolk x Targhee sheep fetus has a mass of about 0.15 kg at day 70, and growth rates of about 31 g/day at day 80, 129 g/day at day 120 and 199 g/day at day 140 of gestation, reaching a mass of about 6.21 kg at day 140, a few days before parturition.[47])

In adolescent ewes (i.e. ewe hoggets), overfeeding during pregnancy can also cause intrauterine growth restriction, by altering nutrient partitioning between dam and conceptus.[48][49] Fetal growth restriction in adolescent ewes overnourished during early to mid pregnancy is not avoided by switching to lower nutrient intake after day 90 of gestation; whereas such switching at day 50 does result in greater placental growth and enhanced pregnancy outcome.[49] Practical implications include the importance of estimating a threshold for "overnutrition" in management of pregnant ewe hoggets. In a study of Romney and Coopworth ewe hoggets bred to Perendale rams, feeding to approximate a conceptus-free live mass gain of 0.15 kg/day (i.e. in addition to conceptus mass), commencing 13 days after the midpoint of a synchronized breeding period, yielded no reduction in lamb birth mass, where compared with feeding treatments yielding conceptus-free live mass gains of about 0 and 0.075 kg/day.[50] In both of the above models of IUGR in sheep, the absolute magnitude of uterine blood flow is reduced.[49] Evidence of substantial reduction of placental glucose transport capacity has been observed in pregnant ewes that had been heat-stressed during placental development.[51][52]

See also

References

  1. ^ "UpToDate".
  2. ^ "Intrauterine Growth Restriction. IUGR information".
  3. ^ Vandenbosche, Robert C.; Kirchner, Jeffrey T. (15 October 1998). "Intrauterine Growth Retardation". American Family Physician. 56 (6): 1384–1390. PMID 9803202. Retrieved 20 February 2016. Intrauterine growth retardation (IUGR), which is defined as less than 10 percent of predicted fetal weight for gestational age, may result in significant fetal morbidity and mortality if not properly diagnosed. The condition is most commonly caused by inadequate maternal-fetal circulation, with a resultant decrease in fetal growth.
  4. ^ White, Cynthia D. (16 November 2014). "Intrauterine growth restriction". MedlinePlus Medical Encyclopedia. Retrieved 21 February 2016. Alternative Names: Intrauterine growth retardation; IUGR
  5. ^ a b c Kesavan, K.; Devaskar, S. U. (2019-04-01). "Intrauterine Growth Restriction: Postnatal Monitoring and Outcomes". Pediatric Clinics of North America. 66 (2): 403–423. doi:10.1016/j.pcl.2018.12.009. ISSN 0031-3955. PMID 30819345. S2CID 73488004.
  6. ^ a b c d e f g "Fetal Growth Restriction: ACOG Practice Bulletin, Number 227". Obstetrics & Gynecology. 137 (2): e16 – e28. February 2021. doi:10.1097/AOG.0000000000004251. ISSN 0029-7844. PMID 33481528. S2CID 231680750.
  7. ^ Lawn JE, Cousens S, Zupan J (2005). "4 million neonatal deaths: when? Where? Why?". The Lancet. 365 (9462): 891–900. doi:10.1016/s0140-6736(05)71048-5. PMID 15752534. S2CID 20891663.
  8. ^ Small for gestational age (SGA) at MedlinePlus. Update Date: 8/4/2009. Updated by: Linda J. Vorvick. Also reviewed by David Zieve.
  9. ^ "Intrauterine Growth Restriction". Archived from the original on 2007-06-09. Retrieved 2007-11-28.
  10. ^ Hunter, Stephen K.; Kennedy, Colleen M.; Peleg, David (August 1998). "Intrauterine Growth Restriction: Identification and Management - August 1998 - American Academy of Family Physicians". American Family Physician. 58 (2): 453–60, 466–7. PMID 9713399. Archived from the original on 2011-06-06. Retrieved 2007-11-28.
  11. ^ a b Sharma, Deepak; Shastri, Sweta; Sharma, Pradeep (2016). "Intrauterine Growth Restriction: Antenatal and Postnatal Aspects". Clinical Medicine Insights. Pediatrics. 10: 67–83. doi:10.4137/CMPed.S40070. ISSN 1179-5565. PMC 4946587. PMID 27441006.
  12. ^ Wollmann, null (1998). "Intrauterine growth restriction: definition and etiology". Hormone Research. 49 (# Suppl 2): 1–6. doi:10.1159/000053079. ISSN 1423-0046. PMID 9716819. S2CID 37436666.
  13. ^ a b Sharma, Deepak; Shastri, Sweta; Farahbakhsh, Nazanin; Sharma, Pradeep (December 2016). "Intrauterine growth restriction - part 1". The Journal of Maternal-Fetal & Neonatal Medicine. 29 (24): 3977–3987. doi:10.3109/14767058.2016.1152249. ISSN 1476-4954. PMID 26856409. S2CID 29439634.
  14. ^ Saccone G, Berghella V, Sarno L, Maruotti GM, Cetin I, Greco L, Khashan AS, McCarthy F, Martinelli D, Fortunato F, Martinelli P (October 9, 2015). "Celiac disease and obstetric complications: a systematic review and meta-analysis". Am J Obstet Gynecol. 214 (2): 225–34. doi:10.1016/j.ajog.2015.09.080. hdl:11369/330101. PMID 26432464.
  15. ^ Tong, Zhao; Xiaowen, Zhang; Baomin, Chen; Aihua, Liu; Yingying, Zhou; Weiping, Teng; Zhongyan, Shan (2016-05-01). "The Effect of Subclinical Maternal Thyroid Dysfunction and Autoimmunity on Intrauterine Growth Restriction: A Systematic Review and Meta-Analysis". Medicine. 95 (19): e3677. doi:10.1097/MD.0000000000003677. ISSN 1536-5964. PMC 4902545. PMID 27175703.
  16. ^ Flamant, C.; Gascoin, G. (2013-12-01). "Devenir précoce et prise en charge néonatale du nouveau-né petit pour l'âge gestationnel". Journal de Gynécologie Obstétrique et Biologie de la Reproduction. 42 (8): 985–995. doi:10.1016/j.jgyn.2013.09.020. ISSN 0368-2315. PMID 24210715.
  17. ^ Steurer, Martina A.; Jelliffe-Pawlowski, Laura L.; Baer, Rebecca J.; Partridge, J. Colin; Rogers, Elizabeth E.; Keller, Roberta L. (2017-01-01). "Persistent Pulmonary Hypertension of the Newborn in Late Preterm and Term Infants in California". Pediatrics. 139 (1): e20161165. doi:10.1542/peds.2016-1165. ISSN 0031-4005. PMID 27940508.
  18. ^ Cohen, Emily; Wong, Flora Y.; Horne, Rosemary S. C.; Yiallourou, Stephanie R. (June 2016). "Intrauterine growth restriction: impact on cardiovascular development and function throughout infancy". Pediatric Research. 79 (6): 821–830. doi:10.1038/pr.2016.24. ISSN 1530-0447. PMID 26866903.
  19. ^ a b c d e Malhotra, Atul; Allison, Beth J.; Castillo-Melendez, Margie; Jenkin, Graham; Polglase, Graeme R.; Miller, Suzanne L. (2019). "Neonatal Morbidities of Fetal Growth Restriction: Pathophysiology and Impact". Frontiers in Endocrinology. 10: 55. doi:10.3389/fendo.2019.00055. ISSN 1664-2392. PMC 6374308. PMID 30792696.
  20. ^ Colella, Marina; Frérot, Alice; Novais, Aline Rideau Batista; Baud, Olivier (2018). "Neonatal and Long-Term Consequences of Fetal Growth Restriction". Current Pediatric Reviews. 14 (4): 212–218. doi:10.2174/1573396314666180712114531. ISSN 1875-6336. PMC 6416241. PMID 29998808.
  21. ^ Keunen, K.; Kersbergen, K. J.; Groenendaal, F.; Isgum, I.; de Vries, L. S.; Benders, M. J. N. L. (March 2012). "Brain tissue volumes in preterm infants: prematurity, perinatal risk factors and neurodevelopmental outcome: a systematic review". The Journal of Maternal-Fetal & Neonatal Medicine. 25 (Suppl 1): 89–100. doi:10.3109/14767058.2012.664343. ISSN 1476-4954. PMID 22348253. S2CID 12698320.
  22. ^ Batalle D, Eixarch E, Figueras F, Muñoz-Moreno E, Bargallo N, Illa M, Acosta-Rojas R, Amat-Roldan I, Gratacos E (2012). "Altered small-world topology of structural brain networks in infants with intrauterine growth restriction and its association with later neurodevelopmental outcome". NeuroImage. 60 (2): 1352–66. doi:10.1016/j.neuroimage.2012.01.059. PMID 22281673. S2CID 1242147.
  23. ^ Geva R, Eshel R, Leitner Y, Valevski AF, Harel S (2006). "Neuropsychological Outcome of Children With Intrauterine Growth Restriction: A 9-Year Prospective Study". Pediatrics. 118 (1): 91–100. doi:10.1542/peds.2005-2343. PMID 16818553. S2CID 11394000.
  24. ^ Pharoah, Peter O. D. (November 2007). "Prevalence and pathogenesis of congenital anomalies in cerebral palsy". Archives of Disease in Childhood. Fetal and Neonatal Edition. 92 (6): F489–493. doi:10.1136/adc.2006.107375. ISSN 1468-2052. PMC 2675398. PMID 17428819.
  25. ^ Black LS, deRegnier RA, Long J, Georgieff MK, Nelson CA (November 2004). "Electrographic imaging of recognition memory in 34-38 week gestation intrauterine growth restricted newborns". Experimental Neurology. 190 (Suppl 1): S72–83. doi:10.1016/j.expneurol.2004.05.031. PMID 15498545. S2CID 7742685.
  26. ^ a b c Lees, C. C.; Stampalija, T.; Baschat, A. A.; Silva Costa, F.; Ferrazzi, E.; Figueras, F.; Hecher, K.; Kingdom, J.; Poon, L. C.; Salomon, L. J.; Unterscheider, J. (August 2020). "ISUOG Practice Guidelines: diagnosis and management of small-for-gestational-age fetus and fetal growth restriction". Ultrasound in Obstetrics & Gynecology. 56 (2): 298–312. doi:10.1002/uog.22134. hdl:11343/276085. ISSN 0960-7692. PMID 32738107. S2CID 220909268.
  27. ^ a b Sharma D, Shastri S, Sharma P (2016). "Intrauterine Growth Restriction: Antenatal and Postnatal Aspects". Clinical Medicine Insights. Pediatrics. 10: 67–83. doi:10.4137/CMPed.S40070. PMC 4946587. PMID 27441006.
  28. ^ McCall, CA; Grimes, DA; Lyerly, AD (June 2013). ""Therapeutic" bed rest in pregnancy: unethical and unsupported by data". Obstetrics and Gynecology. 121 (6): 1305–8. doi:10.1097/AOG.0b013e318293f12f. PMID 23812466. S2CID 9069311.
  29. ^ "Antenatal Corticosteroid Therapy for Fetal Maturation". Obstetric Anesthesia Digest. 29 (1): 11. March 2009. doi:10.1097/01.aoa.0000344672.12959.0d. ISSN 0275-665X.
  30. ^ "Magnesium Sulphate Given Before Very-Preterm Birth to Protect Infant Brain: The Randomised Controlled PREMAG Trial". Obstetric Anesthesia Digest. 27 (4): 175–176. December 2007. doi:10.1097/01.aoa.0000302277.08830.d0. ISSN 0275-665X.
  31. ^ Carlo L. Acerini (2013). Oxford Handbook of Paediatrics. Robert J. McClure, Robert C. Tasker. OUP Oxford. ISBN 9780191015885. OCLC 1223311499.
  32. ^ Gilbert, William M.; Danielsen, Beate (2003). "Pregnancy outcomes associated with intrauterine growth restriction". American Journal of Obstetrics and Gynecology. 188 (6): 1596–1601. doi:10.1067/mob.2003.384. ISSN 0002-9378. PMID 12824998.
  33. ^ Hoe, Francis M.; Thornton, Paul S.; Wanner, Laura A.; Steinkrauss, Linda; Simmons, Rebecca A.; Stanley, Charles A. (February 2006). "Clinical features and insulin regulation in infants with a syndrome of prolonged neonatal hyperinsulinism". The Journal of Pediatrics. 148 (2): 207–212. doi:10.1016/j.jpeds.2005.10.002. PMID 16492430.
  34. ^ Hyman, Sharon J.; Novoa, Yeray; Holzman, Ian (October 2011). "Perinatal Endocrinology: Common Endocrine Disorders in the Sick and Premature Newborn". Pediatric Clinics of North America. 58 (5): 1083–1098. doi:10.1016/j.pcl.2011.07.003. PMID 21981950.
  35. ^ Mukhopadhyay, Dhriti; Weaver, Laura; Tobin, Richard; Henderson, Stephanie; Beeram, Madhava; Newell-Rogers, M. Karen; Perger, Lena (May 2014). "Intrauterine growth restriction and prematurity influence regulatory T cell development in newborns". Journal of Pediatric Surgery. 49 (5): 727–732. doi:10.1016/j.jpedsurg.2014.02.055. ISSN 0022-3468. PMID 24851757.
  36. ^ Barker, D. J. P., ed. (1992). Fetal and infant origins of adult disease. London: British Medical Journal. ISBN 978-0-7279-0743-1.
  37. ^ Karlberg, J.; Albertsson-Wikland, K. (1995). "Growth in Full- Term Small-for-Gestational-Age Infants: From Birth to Final Height". Pediatric Research. 38 (5): 733–739. doi:10.1203/00006450-199511000-00017. ISSN 1530-0447. PMID 8552442.
  38. ^ Løhaugen, Gro C.C.; Østgård, Heidi Furre; Andreassen, Silje; Jacobsen, Geir W.; Vik, Torstein; Brubakk, Ann-Mari; Skranes, Jon; Martinussen, Marit (2013). "Small for Gestational Age and Intrauterine Growth Restriction Decreases Cognitive Function in Young Adults". The Journal of Pediatrics. 163 (2): 447–453.e1. doi:10.1016/j.jpeds.2013.01.060. ISSN 0022-3476. PMID 23453550.
  39. ^ Lundgren, Ester Maria; Cnattingius, Sven; Jonsson, Björn; Tuvemo, Torsten (2001). "Intellectual and Psychological Performance in Males Born Small for Gestational Age With and Without Catch-Up Growth". Pediatric Research. 50 (1): 91–96. doi:10.1203/00006450-200107000-00017. ISSN 1530-0447. PMID 11420424.
  40. ^ McMillen, I. C.; Muhlhausler, B. S.; Duffield, J. A.; Yuen, B. S. J. (2004). "Prenatal programming of postnatal obesity: fetal nutrition and the regulation of leptin synthesis and secretion before birth". Proceedings of the Nutrition Society. 63 (3): 405–412. doi:10.1079/PNS2004370. hdl:2440/3152. ISSN 0029-6651. PMID 15373950. S2CID 29901966.
  41. ^ Langley-Evans, Simon C.; Gardner, David S.; Jackson, Alan A. (1996-06-01). "Maternal Protein Restriction Influences the Programming of the Rat Hypothalamic-Pituitary-Adrenal Axis". The Journal of Nutrition. 126 (6): 1578–1585. doi:10.1093/jn/126.6.1578. ISSN 0022-3166. PMID 8648431.
  42. ^ Bacchetta, Justine; Harambat, Jérôme; Dubourg, Laurence; Guy, Brigitte; Liutkus, Aurélia; Canterino, Isabelle; Kassaï, Behrouz; Putet, Guy; Cochat, Pierre (2009). "Both extrauterine and intrauterine growth restriction impair renal function in children born very preterm". Kidney International. 76 (4): 445–452. doi:10.1038/ki.2009.201. ISSN 0085-2538. PMID 19516242.
  43. ^ a b Vatnick I, Ignotz G, McBride BW, Bell AW (September 1991). "Effect of heat stress on ovine placental growth in early pregnancy". Journal of Developmental Physiology. 16 (3): 163–6. PMID 1797923.
  44. ^ Bell A. W.; McBride B. W.; Slepetis R.; Early R. J.; Currie W. B. (1989). "Chronic Heat Stress and Prenatal Development in Sheep: I. Conceptus Growth and Maternal Plasma Hormones and Metabolites". Journal of Animal Science. 67 (12): 3289–3299. doi:10.2527/jas1989.67123289x. PMID 2613577. S2CID 9440955.
  45. ^ a b Regnault TR, Orbus RJ, Battaglia FC, Wilkening RB, Anthony RV (September 1999). "Altered arterial concentrations of placental hormones during maximal placental growth in a model of placental insufficiency". The Journal of Endocrinology. 162 (3): 433–42. doi:10.1677/joe.0.1620433. PMID 10467235.
  46. ^ Ehrhardt RA, Bell AW (December 1995). "Growth and metabolism of the ovine placenta during mid-gestation". Placenta. 16 (8): 727–41. doi:10.1016/0143-4004(95)90016-0. PMID 8710803.
  47. ^ Rattray PV, Garrett WN, East NE, Hinman N (March 1974). "Growth, development and composition of the ovine conceptus and mammary gland during pregnancy". Journal of Animal Science. 38 (3): 613–26. doi:10.2527/jas1974.383613x. PMID 4819552.
  48. ^ Wallace J. M. (2000). "Nutrient partitioning during pregnancy: adverse gestational outcome in overnourished adolescent dams". Proc. Nutr. Soc. 59 (1): 107–117. doi:10.1017/s0029665100000136. PMID 10828180.
  49. ^ a b c Wallace J. M.; Regnault T. R. H.; Limesand S. W.; Hay Jr.; Anthony R. V. (2005). "Investigating the causes of low birth weights in contrasting ovine paradigms". J. Physiol. 565 (Pt 1): 19–26. doi:10.1113/jphysiol.2004.082032. PMC 1464509. PMID 15774527.
  50. ^ Morris ST, Kenyon PR, West DM (2010). "Effect of hogget nutrition in pregnancy on lamb birthweight and survival to weaning". New Zealand Journal of Agricultural Research. 48 (2): 165–175. doi:10.1080/00288233.2005.9513647. ISSN 0028-8233.
  51. ^ Bell AW, Wilkening RB, Meschia G (February 1987). "Some aspects of placental function in chronically heat-stressed ewes". Journal of Developmental Physiology. 9 (1): 17–29. PMID 3559063.
  52. ^ Thureen PJ, Trembler KA, Meschia G, Makowski EL, Wilkening RB (September 1992). "Placental glucose transport in heat-induced fetal growth retardation". The American Journal of Physiology. 263 (3 Pt 2): R578–85. doi:10.1152/ajpregu.1992.263.3.R578. PMID 1415644.