Hydrocephalus

Hydrocephalus
Other namesWater on the brain[1]
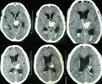
Hydrocephalus as seen on a CT scan of the brain. The black areas in the middle of the brain (the lateral ventricles) are abnormally large and filled with fluid.
Pronunciation
  • /ˌhdrˈsɛfələs/[2]
SpecialtyNeurosurgery
SymptomsBabies: rapid head growth, vomiting, sleepiness, seizures[1]
Older people: Headaches, double vision, poor balance, urinary incontinence, personality changes, mental impairment[1]
CausesNeural tube defects, meningitis, brain tumors, traumatic brain injury, brain bleed during birth, intraventricular hemorrhage[1]
Risk factorsSmoking
Diagnostic methodBased on symptoms and medical imaging[1]
TreatmentSurgery[1]
PrognosisVariable, often normal life[1]
FrequencyVaries throughout the world, from 1 per 256 live births to 1 per 9,000, depending on access to prenatal health care, prenatal tests, and abortion[1][3]

Hydrocephalus is a condition in which cerebrospinal fluid (CSF) builds up within the brain, which can cause pressure to increase in the skull.[4] Symptoms may vary according to age. Headaches and double vision are common. Elderly adults with normal pressure hydrocephalus (NPH) may have poor balance, difficulty controlling urination or mental impairment.[4] In babies, there may be a rapid increase in head size. Other symptoms may include vomiting, sleepiness, seizures, and downward pointing of the eyes.[1]

Hydrocephalus can occur due to birth defects (primary) or can develop later in life (secondary).[1] Hydrocephalus can be classified via mechanism into communicating, noncommunicating, ex vacuo, and normal pressure hydrocephalus. Diagnosis is made by physical examination and medical imaging, such as a CT scan.[1]

Hydrocephalus is typically treated through surgery. One option is the placement of a shunt system.[1] A procedure called an endoscopic third ventriculostomy has gained popularity in recent decades, and is an option in certain populations.[4] Outcomes are variable, but many people with shunts live normal lives.[1] However, there are many potential complications, including infection or breakage.[4] There is a high risk of shunt failure in children especially.[4] However, without treatment, permanent disability or death may occur.[1]

Hydrocephalus affects about 0.1–0.6% of newborns.[4] Rates in the developing world may be higher.[5] Normal pressure hydrocephalus affects about 6% of patients over 80.[4] Description of hydrocephalus by Hippocrates dates back more than 2,000 years.[5] The word hydrocephalus is from the Greek ὕδωρ, hydōr, meaning 'water' and κεφαλή, kephalē, meaning 'head'.[6]

Signs and symptoms

Illustration showing different effects of hydrocephalus on the brain and cranium
Adult showing cranial deformity from pediatric hydrocephalus

The clinical presentation of hydrocephalus varies with age as well as chronicity.

Infants:

Hydrocephalus is difficult to detect clinically before delivery, although enlarged ventricles can be spotted on ultrasonography as early as 18–20 weeks gestation.[7] Since infants' skulls are not fully fused together at the cranial sutures yet, they have soft spots on their skulls known as open fontanelles.[8] This anatomic characteristic means that infants' skulls can visibly grow in size when cerebrospinal fluid accumulates. Therefore, infants with hydrocephalus may present with an enlarged skull (or rapid growth in skull size), bulging fontanelles, or separated cranial sutures.[8][9] Parents or physicians may also note that the infant is more irritable or tired than normal. Other symptoms include seizures, inability to look upwards ("sunset eyes" or "setting sun" sign), and pauses in breathing.[8][9] Infants may also present with lack of weight gain or failure to meet motor and developmental milestones.[10] Imaging can be done to confirm the suspected diagnosis of hydrocephalus. In infants, the open fontanelles allow for use of head ultrasonography. This allows pediatricians to minimize radiation exposure and come up with a diagnosis quickly.[8] If further information is needed, an MRI can be done.[7]

The photo depicts a severe case of hydrocephalus, showing an abnormally enlarged skull due to excess cerebrospinal fluid in the brain's ventricles. The head is significantly enlarged, with visible veins, stretched skin, and potential sunken eyes.

Of note, hydrocephalus in infants can occur as part of a syndrome, and therefore patients may present with other characteristic symptoms.[10] An example of one such syndrome is the Walker-Warburg syndrome, in which patients may also have holoprosencephaly and several other cranial defects. The VACTERL disorders (vertebral anomalies, anal atresia, cardiac defects, tracheoesophageal fistula, renal and radial anomalies, and limb defects) may also include hydrocephalus, and can then be called VACTERL-H.[10] Hydrocephalus can also occur as part of neurocutaneous disorders such as neurofibromatosis type I (NF I) and tuberous sclerosis.[10] Lastly, patients with trisomy disorders (trisomy 9,19p, 13, 18, and 21) as well as triploidy have been noted to have hydrocephalus.[10]Children:

In older children, the fontanelles are closed, so there is no visible change in head size.[7] Since there is limited expansion of the skull, symptoms are more representative of the effects of increased intracranial pressure on a child's developing brain.[10] The most common presenting features in this age group are memory and concentration issues as well as motor and gait abnormalities. Nausea, vomiting, and a tremor of the arms and legs are also common features in older children.[10] Patients may also have papilledema (swelling of the optic disc), worsening vision, and difficulty looking upwards on examination.[10] A key feature in this age group includes headaches, due to the intracranial hypertension caused by the increased CSF in the closed space of the skull. These headaches tend to occur early in the morning as patients have been in a horizontal position throughout the night, which increases ICP.[10]

Symptoms that may occur in older children can include:[11]

  • Brief, shrill, high-pitched cry
  • Changes in personality, memory, or the ability to reason or think
  • Changes in facial appearance and eye spacing (craniofacial disproportion)
  • Crossed eyes or uncontrolled eye movements
  • Difficulty feeding
  • Excessive sleepiness
  • Headaches
  • Irritability, poor temper control
  • Loss of bladder control (urinary incontinence)
  • Loss of coordination and trouble walking
  • Muscle spasticity (spasm)
  • Slow growth (child 0–5 years)
  • Delayed milestones
  • Failure to thrive
  • Slow or restricted movement
  • Vomiting[12]

Since increased intracranial pressure can damage the brain, thought and behavior may be negatively affected. Learning disabilities, including short-term memory loss, are common among those with hydrocephalus. Affected children tend to score better on verbal IQ than on performance IQ, a pattern which is thought to reflect the distribution of nerve damage to the brain.[1] Hydrocephalus that is present from a young age can cause long-term problems with speech and language. Children can have trouble understanding complex and abstract concepts or difficulty retrieving stored information. They may also have a nonverbal learning disorder or spatial/perceptual disorders. Children affected by hydrocephalus may also have difficulty in understanding concepts within conversation. This is thought to be due to an inability to understand or interpret context.[13] These children may tend to use words they know or have heard.[13][14] However, the severity of hydrocephalus can differ considerably between individuals, and some are of average or above-average intelligence. Aside from learning disabilities, a child with hydrocephalus may also have coordination and visual problems. They may reach puberty earlier than the average child (this is called precocious puberty). About one in four develops epilepsy.[15]

Adults:

In adults, acute hydrocephalus can have many of the same signs and symptoms (headaches, vomiting, nausea, papilledema, sleepiness, or coma) of increased intracranial pressure (ICP) that are seen in children.[16] Increased volumes of CSF can also result in hearing loss, including sensorineural hearing loss (SNHL).[17] Hearing loss is a rare but well-known sequela of procedures resulting in CSF loss.[18] Elevated ICP can also cause a portion of the brain to move out of place (uncal or tonsillar herniation), which can result in brain stem compression and possibly death.[11]

By contrast, chronic dilatation (especially in the elderly population) may present in a more insidious manner. Hakim's triad of gait instability, urinary incontinence, and dementia is a relatively typical manifestation of a form of hydrocephalus known as normal pressure hydrocephalus (NPH). Focal neurological deficits may also occur, such as abducens nerve palsy and vertical gaze palsy (Parinaud syndrome due to compression of the quadrigeminal plate, where the neural centers coordinating the conjugated vertical eye movement are located). The symptoms depend on the cause of the blockage, the person's age, and how much brain tissue has been damaged by the swelling.[11]

Hydrocephalus ex vacuo is a condition in which there is ventriculomegaly due to loss of brain volume which then results in a subsequent increase in CSF.[19] This is most commonly seen in patients with neurodegenerative disorders such as Alzheimer's disease (due to hippocampal atrophy specifically).[20] Therefore, the presenting symptoms of this condition will likely be those of Alzheimer's: memory loss, loss of language skills or comprehension (aphasia), inability to perform purposeful movements (apraxia), and inability to conduct activities of daily living independently. Hydrocephalus ex vacuo can also occur due to traumatic brain injuries or due to strokes.

Causes

Hydrocephalus can be caused by a combination of factors and is not fully understood. Any medical condition that interrupts the flow of cerebrospinal fluid (CSF) can cause this build-up of excess fluid. This occurs due to blocked pathways of cerebrospinal fluid (CSF), issues with CSF reabsorption, or increased CSF production.[21]

Hydrocephalus can be classified as primary or secondary (acquired) based on the cause.[22]

Primary

Primary hydrocephalus involves congenital, developmental, and genetic factors that lead to excess CSF build-up.[22] Up to 50% of the causes of primary hydrocephalus are genetic.[4]

Congenital hydrocephalus is defined by the presence of excess CSF at birth. It occurs due to a combination of factors, especially genetic causes prior to birth (meaning the fetus may develop hydrocephalus in utero during fetal development). The genes involved in congenital hydrocephalus involve aqueduct defects, development of the central nervous system, and cilia (involved in the movement and flow of CSF).[23] The most common cause of congenital hydrocephalus is aqueductal stenosis, which occurs when the narrow passage between the third and fourth ventricles in the brain is blocked or too narrow to allow sufficient cerebral spinal fluid to drain. Fluid accumulates in the upper ventricles, causing build up and hydrocephalus.[24]

Developmental disorders including neural-tube defects, arachnoid cysts, Dandy–Walker malformations, and Arnold–Chiari malformations can cause primary hydrocephalus. Dandy-walker malformations and Arnold-Chiari malformations lead to structural abnormalities in the brain, which disrupts the flow of CSF and causes hydrocephalus.[25][26]

Neural tube defects are commonly caused by a deficiency of folic acid during pregnancy.[27] Spina bifida is a neural tube defect that involves defects in the development of the spine, and it can cause hydrocephalus. Myelomeningocele is the most severe type of spina bifida, involving an open spinal column and the exact mechanism of hydrocephalus involved in this condition is unclear.[28]

Secondary (Acquired)

Secondary hydrocephalus is acquired as a consequence of CNS infections, meningitis, brain tumors, head trauma, toxoplasmosis, or intracranial hemorrhage (subarachnoid or intraparenchymal).[29]

Intraventricular hemorrhage, or bleeding within the ventricles of the brain, leads to hydrocephalus in 51–89% of patients.[30] This is because the blood in the ventricles blocks the regular flow of CSF, leading to build-up of excess CSF[30]

Spontaneous intracerebral and intraventricular hemorrhage with hydrocephalus shown on CT scan[31]

Normal pressure hydrocephalus (NPH) most often occurs in elderly patients with symptoms including gait disturbance, urinary incontinence, and cognitive issues.[32] It is commonly divided into two categories, idiopathic NPH (with unknown cause) and secondary NPH (due to trauma, hemorrhage, etc.).[32]

Hydrocephalus can also be caused by overproduction of CSF (relative obstruction) such as choroid plexus papilloma, villous hypertrophy.[33][34]

Brain atrophy or breakdown in elderly patients or patients with conditions like Parkinson's or Alzheimer's can lead to acquired hydrocephalus.[35] This is likely because the breakdown of brain cells leads to ventriculomegaly (enlargement of ventricles) and increased space for CSF to fill.[35]

Mechanism

Diagram showing CSF flow and neuroanatomy.

Hydrocephalus is due to an imbalance between the amount of cerebrospinal fluid (CSF) produced and the amount reabsorbed (or removed from the ventricular system).[36] The purpose of cerebrospinal fluid is to provide mechanical support, nutrients, and remove waste from the central nervous system.[23] In a person without hydrocephalus, CSF continuously circulates through the brain, its ventricles and the spinal cord and is continuously drained away into the circulatory system. Alternatively, the condition may result from an overproduction of the CSF, from a congenital malformation blocking normal drainage of the fluid, or from complications of head injuries or infections.[1]

The choroid plexus, located in the lateral ventricles, forms the majority of CSF (believed to be around 70–80%). The ependymal lining of the ventricular system, the subarachnoid space, and the blood-brain-barrier forms the rest.[36]

CSF flows through the ventricular system through the following pathway:[37]
Lateral Ventricles → Interventricular Foramen of Monro → Third Ventricle → Cerebral Aqueduct → Fourth Ventricle

The CSF then exits the fourth ventricle through the median aperture and lateral aperture. It goes into the subarachnoid space or central canal of the spinal cord. Then, it is absorbed by the vili of arachnoid granulations into the blood circulation.[37]

There have also been recent theories and studies exploring the drainage of CSF.[37][38] One theory involves the drainage of CSF into the lymphatic vessel system. The lymphatic vessel system clears proteins and fluid throughout the body, but whether they are involved in CSF drainage within the brain is controversial and not yet clear. Lymphatic vessels in the dura mater is a possible site of CSF drainage.[38]

Cilia plays a role in the flow of CSF. Cilia are long microtubules on the cell membranes of many cells, including ependymal cells (which line the ventricular system). Some genetic causes of congenital hydrocephalus have been linked to issues with cilia.[23]

Mechanism of symptoms

When the cerebrospinal fluid builds up, it causes compression of the brain, which leads to the symptoms of convulsions, intellectual disability, and epileptic seizures. These signs occur sooner in adults because their skulls are no longer able to expand to based on the increasing fluid volume. Fetuses, infants, and young children with hydrocephalus have head enlargement, excluding the face, because the pressure of the fluid causes the individual skull bones—which have yet to fuse—to bulge outward at their juncture points.[39]

A rare complication of hydrocephalus is hearing loss. There are a few possible mechanisms involved in hearing loss in hydrocephalus.[40] The cochlear aqueduct connects the perilymphatic space of the inner ear with the subarachnoid space of the posterior cranial fossa.[41] Because of the delicate relationship between pressure and hearing, hearing loss may also be caused after a shunt is placed to treat hydrocephalus.[42]

CSF can accumulate within the ventricles, a condition called internal hydrocephalus. It may result in increased CSF pressure. The production of CSF continues, even when the passages that normally allow it to exit the brain are blocked. Consequently, fluid builds inside the brain, causing pressure that dilates the ventricles and compresses the nervous tissue. Compression of the nervous tissue usually results in irreversible brain damage. If the skull bones are not completely ossified when the hydrocephalus occurs, the pressure may also severely enlarge the head. The cerebral aqueduct may be blocked at the time of birth or may become blocked later in life because of a tumor growing in the brainstem.[43]

Classification

The classification of communicating vs. noncommunicating hydrocephalus are often used to describe the types of hydrocephalus. These terms describe the nonobstructive vs. obstructive mechanisms of the excess CSF build-up.

Communicating

In communicating hydrocephalus, there is no obstruction of CSF flow. Instead, there is either an increased production of CSF or difficulty reabsorbing CSF.[44] Reabsorption occurs at the arachnoid granulations, so issues with reabsorption can occur because of arachnoid granulation impairment. There is also evidence of the lymphatic system being involved with reabsorption, so impairments of this system can also lead to excess CSF. Damage to these reabsorption sites are commonly post-hemorrhage or post-infection (such as meningitis).[44] Scarring and fibrosis of the subarachnoid space following infectious, inflammatory, or hemorrhagic events can also prevent reabsorption of CSF, causing hydrocephalus.[45]

Normal pressure hydrocephalus (NPH) is a form of chronic communicating hydrocephalus, with enlarged cerebral ventricles and intermittently increased cerebrospinal fluid pressure.[46][32] The symptoms include dementia, gait changes, and urinary incontinence.[32] It is diagnosed with continuous intraventricular pressure recordings (over 24 hours or even longer) because instant measurements can show normal pressure values. Dynamic compliance studies may be also helpful. Altered compliance (elasticity) of the ventricular walls, as well as increased viscosity of the cerebrospinal fluid, may play a role in the pathogenesis.[47]

An adult with congenital hydrocephalus in the Philippines

Noncommunicating

In noncommunicating hydrocephalus, there is obstruction to the CSF flow. Examples of common causes include hemorrhage, tumor, traumatic brain injury that disrupt the flow, leading to build-up of CSF in the brain.[44]

Treatments

Procedures

Baby recovering from shunt surgery
Ventriculoperitoneal shunt placement in child with hydrocephalus

Hydrocephalus is treated through surgery by creating a way for the excess fluid to drain away. An external ventricular drain (EVD), also known as an extraventricular drain or ventriculostomy, provides relief in the short term.[48] In the long term, some people will need any of the various types of cerebral shunts.[48] It involves the placement of a ventricular catheter (a tube made of silastic) into the cerebral ventricles. This creates a way to bypass the flow obstruction/malfunctioning arachnoidal granulations. The excess fluid drains into other body cavities where it can be resorbed. Most shunts drain the fluid into the peritoneal cavity (ventriculoperitoneal shunt).[49] Other shunts drain the fluid into the right atrium (ventriculoatrial shunt), pleural cavity (ventriculopleural shunt), and gallbladder.[49]

A shunt system can also be placed in the lumbar space of the spine. This allows the excess fluid to be redirected to the peritoneal cavity (lumbar-peritoneal shunt).[50] Another treatment for obstructive hydrocephalus is an endoscopic third ventriculostomy (ETV). This surgery creates an opening in the floor of the third ventricle so that CSF flows directly to the basal cisterns. This treatment can shortcut any obstruction like aqueductal stenosis. This may or may not be appropriate based on individual anatomy. Some infants can be treated with ETV and choroid plexus cauterization.[51][52] Choroid plexus cauterization reduces the amount of cerebrospinal fluid produced by the brain. The technique, known as ETV/CPC, was pioneered in Uganda by neurosurgeon Benjamin Warf and is now in use in several U.S. hospitals.[51][52]

External hydrocephalus

External hydrocephalus is generally seen in infants. It involves enlarged fluid spaces or subarachnoid spaces outside of the brain. The most common sign is a head circumference above the 90th percentile. In most cases, no other signs or symptoms are reported.[53] Rarely reported symptoms include a tense anterior fontanel, developmental delay, seizures, irritability, and vomiting.[54] Usually, this condition is benign. It resolves spontaneously by two to three years of age.[55] Thus, it usually does not need insertion of a shunt. If surgical treatment is required, a ventriculoperitoneal shunt is usually preferred.[54] Other treatment options include using medications like acetazolamide.[53] The condition can be diagnosed and monitored with brain sonography and CT/MRI. These tests and a good medical history can help to identify external hydrocephalus from similar conditions: subdural hemorrhages or symptomatic chronic extra-axial fluid collections which are accompanied by vomiting, headaches, and seizures.[56][57]

Shunt complications

Shunt surgery is one of the most common procedures in pediatric neurosurgery. Significant advances in shunt technology and surgical approaches have been made over the years. However, the lifetime risk for a revision surgery of a ventriculoperitoneal shunt in pediatric patients can reach up to 80%.[58] Shunt failure rates are also high. Of the 40,000 surgeries performed annually for hydrocephalus, only 30% are a person’s first surgery. Many patients require multiple revisions during their lives.[59] Common complications requiring revision include:

  1. overdrainage of cerebrospinal fluid
  2. obstruction of the valve or catheter
  3. infection
  4. catheter disconnection/migration[60][58]

If shunt failure occurs, the cerebrospinal fluid begins to accumulate again. This can cause a number of physical symptoms develop (headaches, nausea, vomiting, photophobia/light sensitivity), some extremely serious, such as seizures.[61] Patient factors that are associated with shunt failure includes the cause of the hydrocephalus, prematurity, male sex, spina bifida, epilepsy, severity of ventricular dilation, ethnicity, and age <1 year.[61] The diagnosis of CSF buildup is complex and requires specialist expertise. Diagnosis can depend on whether symptoms occur. For example, whether symptoms occur when the person is upright or in a prone position (lying down) with the head at roughly the same level as the feet.[61]

Overdrainage of cerebrospinal fluid occurs when the fluid drains more rapidly than it is produced by the choroid plexus. The rate of overdrainage is estimated to be about 10% to 12% within 6.5 years after shunt placement.[62] Signs and symptoms of overdrainage includes:

If the person lies down, the symptoms usually vanish quickly. Resistance to traditional analgesic pharmacological therapy may also be a sign of shunt overdrainage or failure.[63] A CT scan may or may not show any change in ventricle size, particularly if the person has a history of slit-like ventricles. It can be challenging to diagnose over-drainage. This can make treatment of overdrainage particularly frustrating for people and their families. However, monitoring the intracranial pressure in combination with radiological findings has been found to be a useful tool for identifying cases of overdrainage.[64] Prevention of this complication includes using adjustable pressure valves and integrated gravitational units.[64] To alleviate the symptoms, a lumbar puncture or external lumbar or ventricular drainage could be used. To prevent chronic overdrainage, a valve exchange is recommended.[64]

Shunt obstruction is the most common cause of shunt failure.[65] The shunt can be obstructed at the catheter or the valve itself. Cases of shunt obstruction would present with similar symptoms to untreated hydrocephalus (headaches, nausea, lethargy, etc.).[65] It can be caused by tissue, bacteria, or kinking of the catheter. Diagnosis is usually made by shunt tapping and imaging studies like CT. Treatment involves replacing or flushing the shunt to address the cause of the obstruction and restore flow through the catheter.[65]

The rate of initial shunt infection ranges from 3.6 to 12.6%[9] The signs and symptoms of shunt infection are variable, but the most common include headache, nausea, fever, swelling, and lethargy. Shunt infections are most commonly diagnosed by culturing the cerebrospinal fluid. According to studies, the most common cause of infection are bacteria, followed by fungi.[66] The bacterial Staphylococcal species, especially coagulase-negative Staphylococcus and Staphylococcus aureus, is responsible for almost 2/3 of shunt infections.[66] It is believed that these organisms are introduced to the cerebrospinal fluid at the time of surgery.[66] In the case of shunt infection, it is recommended to remove the shunt. place an external ventricular drain, and then place a new shunt.[67] Current research is dedicated to methods to prevent such infections from occurring. Using antibiotics or different shunt hardware to prevent bacterial growth is being studied. The efficacy of more vigilant shunt surveillance is also being studied.[9] Standardized protocols for inserting cerebral shunts have been shown to reduce shunt infections.[68][69] There is tentative evidence that preventative antibiotics may decrease the risk of shunt infections.[70]

Shunt migration is a relatively uncommon complication that requires a shunt revision.[71] The most common sites that the shunt catheter can migrate to include the scrotum (30.67% of cases), followed by through the anus (22% of cases). Less common sites include the large intestine, small intestine, stomach, and oral cavity.[71] Signs and symptoms vary depending on the site of migration. For example, intestinal migrations may present with abdominal pain, fever, and vomiting, especially if it perforates the bowel.[72] Anal migration often presents with no symptoms.[71][72]

Following placement of a VP shunt, there have been cases of a decrease in post-surgery hearing. It is presumed that the cochlea aqueduct is responsible for the decrease in hearing thresholds. The cochlea aqueduct has been considered as a probable channel where CSF pressure can be transmitted. Therefore, the reduced CSF pressure could cause a decrease in Perilymphatic pressure. This could cause secondary endolymphatic hydrops.[41] In addition to the increased hearing loss, there have also been findings of resolved hearing loss after ventriculoperitoneal shunt placement, where there is a release of CSF pressure on the auditory pathways.[73]

Epidemiology

It is estimated that congenital hydrocephalus occurs in 8.5 out of 10,000 live births globally. The disease burden is more concentrated in Africa, Asia, and South America.[74] A study in 2019 estimated that there are 180,000 childhood hydrocephalus cases from the African continent per year. It also reported 90,000 cases from Southeast Asia and the Western Pacific.[74] Congenital hydrocephalus was found to be associated with many factors.[74] The health of the affected individual's mother is one factor. Exposure to medications in the prenatal period such as antibiotics is another factor.[74] Low socioeconomic status is also a factor.[74] In adults that are 18–64 years-old, about 11 in 100,000 cases of hydrocephalus is estimated. For adults over 65 years of age, 175 in 100,000 cases is estimated.[75]

History

Skull of a hydrocephalic child (1800s)

In the pre-historic area, there were various paintings or artifacts depicting children or adults with macrocephaly (large head) or clinical findings of hydrocephalus.[76] The earliest scientific description of hydrocephalus was written by the ancient Greek physician, Hippocrates. He coined the word 'hydrocephalus' from the Greek ὕδωρ, hydōr meaning 'water' and κεφαλή, kephalē meaning 'head'.[77] A more accurate description was later given by the Roman physician Galen in the second century AD.[77]

The first clinical description of an operative procedure for hydrocephalus appears in the Al-Tasrif (1,000 AD). This was contributed by the Arab surgeon Abulcasis. He described the evacuation of superficial intracranial fluid in hydrocephalic children.[77] In his chapter on neurosurgical disease, he described that infantile hydrocephalus was caused by mechanical compression. Specifically, he wrote:[77]

The skull of a newborn baby is often full of liquid, either because the matron has compressed it excessively or for other, unknown reasons. The volume of the skull then increases daily, so that the bones of the skull fail to close. In this case, we must open the middle of the skull in three places, make the liquid flow out, then close the wound and tighten the skull with a bandage.

Preserved corpse of a newborn with an enlarged head
Historical specimen of an infant with severe hydrocephalus, probably untreated

In the 17th century, Isbrand de Diemerbroeck proposed that the enlargement of an 18-month-old child's head was due to unhealthy diet.[77] This diet would cause thick fluids to travel from the intestines to the skull. He proposed using a poultice and laxative to decrease the amount of fluids in the body. If those methods failed, he recommended a skin puncture to remove the fluid.[77] In 1744, Claude-Nicolas Le Cat, a French surgeon, performed a ventricular puncture to treat a 3-month old with hydrocephalus. He attempted to perform this surgery a second time, but the patient did not survive.[77] Also during the 18th century, an English physician named Michael Underwood reported the symptoms associated with hydrocephalus. He described vomiting, fever, dilated pupils, sensitivity to light, and diplopia. He also noted that patients eventually fell into a deep coma and died.[77]

In 1881, Carl Wernicke pioneered sterile ventricular puncture and external drainage of CSF for the treatment of hydrocephalus. This occurred a few years after the landmark study of Retzius and Key.[77] In 1891, Heinrich Quincke first described using a lumbar puncture to drain excess spinal fluid. This eventually led to investigating permanent treatment methods. This would require developing a continuous drain to treat hydrocephalus.[78][79] In 1893, Jan MIkulicz-Radecki used a permanent shunt to drain CSF successfully. It wasn't until the 20th century that hydrocephalus remained an intractable condition. This was when cerebral shunt and other neurosurgical treatment modalities were developed.[78] In the early 20th century, the role of the arachnoid villi in absorbing cerebrospinal fluid was confirmed by Harvey Cushing. He recommended draining the fluid into the retroperitoneal space rather than the scalp. He was the first to attempt to create a shunt to the external jugular vein using a transplanted vein from the patient's father.[78] In the 1950s, the invention of radiotracers allowed for scientists to trace the flow of cerebrospinal fluid. These findings were critical for shaping future therapies and treatments of hydrocephalus.[78]

The first hydrocephalus shunt was placed in 1956.[50] For the next 30 years, advances in shunt material and design were made, such as development of a valve system.[78] Additionally, the invention of prenatal ultrasound made diagnosis of fetal hydrocephalus possible around the 1970s and 1980s.[79] In the 1980s and 1990s, it was found that an endoscope could be used to more accurately place ventricular catheters. The advent of endoscopic procedures also resulted in endoscopic third ventriculostomies being used more commonly. This is an alternative method from shunt placement to treat hydrocephalus.[79]

Society and culture

Name

The word hydrocephalus is from the Greek ὕδωρ, hydōr meaning 'water' and κεφαλή, kephalē meaning 'head'.[6] Other names for hydrocephalus include "water on the brain", a historical name, and "water baby syndrome".[1][80]

Awareness

Hydrocephalus awareness ribbon

There are many organizations that advocate for hydrocephalus patients and promote research about its treatments. The Hydrocephalus Association was founded as a family support group in 1983 by parents of children with hydrocephalus. It has since expanded to a non-profit patient advocacy group, and has invested over $14 million in research since 2009.[81] The National Hydrocephalus Foundation, also started by parents of a child with hydrocephalus, is a non-profit organization established in 1979.[82] The Pediatric Hydrocephalus Foundation was founded in 2005 for similar purposes.[83]

September was designated National Hydrocephalus Awareness Month in July 2009 by the U.S. Congress in H.Res. 373. The resolution campaign is due in part to the advocacy work of the Pediatric Hydrocephalus Foundation. Prior to July 2009, no awareness month for this condition had been designated.

Notable cases

References

  1. ^ a b c d e f g h i j k l m n o p q "Hydrocephalus Fact Sheet". ninds.nih.gov. National Institute of Neurological Disorders and Stroke. 5 April 2016. Archived from the original on 27 July 2016. Retrieved 7 July 2025.
  2. ^ "Hydrocephalus". Collins. Retrieved 1 April 2020.
  3. ^ Stevenson DK, Benitz WE (2003). Fetal and Neonatal Brain Injury: Mechanisms, Management and the Risks of Practice. Cambridge: Cambridge University Press. p. 117. ISBN 9780521806916. Archived from the original on 21 December 2016.
  4. ^ a b c d e f g h Hochstetler A, Raskin J, Blazer-Yost BL (September 2022). "Hydrocephalus: historical analysis and considerations for treatment". European Journal of Medical Research. 27 (1) 168. doi:10.1186/s40001-022-00798-6. PMC 9434947. PMID 36050779.
  5. ^ a b Ellenbogen RG, Abdulrauf SI, Sekhar LN (2012). Principles of Neurological Surgery. Elsevier Health Sciences. p. 105. ISBN 978-1-4377-0701-4.
  6. ^ a b Dorland's electronic medical dictionary (29th ed.). W.B. Saunders Co. 2000. ISBN 9780721694931.
  7. ^ a b c Kahle KT, Kulkarni AV, Limbrick DD, Warf BC (February 2016). "Hydrocephalus in children". Lancet. 387 (10020): 788–799. doi:10.1016/S0140-6736(15)60694-8. PMID 26256071.
  8. ^ a b c d Lu VM, Shimony N, Jallo GI, Niazi TN (August 2024). "Infant Hydrocephalus". Pediatrics in Review. 45 (8): 450–460. doi:10.1542/pir.2023-006318. PMID 39085190.
  9. ^ a b c d Pindrik J, Schulz L, Drapeau A (July 2022). "Diagnosis and Surgical Management of Neonatal Hydrocephalus". Seminars in Pediatric Neurology. Perinatal Neurology. 42 100969. doi:10.1016/j.spen.2022.100969. PMID 35868728.
  10. ^ a b c d e f g h i Işık U, Özek MM (2018). "Clinical Findings of Children with Hydrocephalus". In Cinalli G, Ozek MM, Sainte-Rose C (eds.). Pediatric Hydrocephalus. Cham: Springer International Publishing. pp. 1–19. doi:10.1007/978-3-319-31889-9_46-1. ISBN 978-3-319-31889-9. Retrieved 23 January 2025.
  11. ^ a b c Riveros Gilardi B, Muñoz López JI, Hernández Villegas AC, Garay Mora JA, Rico Rodríguez OC, Chávez Appendini R, et al. (October 2019). "Types of Cerebral Herniation and Their Imaging Features". Radiographics. 39 (6): 1598–1610. doi:10.1148/rg.2019190018. PMID 31589570. S2CID 203924869.
  12. ^ Kaneshiro NK, Zieve D, Black B, et al. (A.D.A.M. Editorial Team). "Hydrocephalus". MedlinePlus.
  13. ^ a b Barnes MA, Dennis M (February 1998). "Discourse after early-onset hydrocephalus: core deficits in children of average intelligence". Brain and Language. 61 (3): 309–334. doi:10.1006/brln.1998.1843. PMID 9570868. S2CID 13336454.
  14. ^ Oi S (1999), "Hydrocephalus Associated with Spina Bifida: Specific Pathophysiology and Therapeutic Problems", Spina Bifida, Springer Japan, pp. 177–184, ISBN 978-4-431-70260-3
  15. ^ Parent AS, Teilmann G, Juul A, Skakkebaek NE, Toppari J, Bourguignon JP (October 2003). "The timing of normal puberty and the age limits of sexual precocity: variations around the world, secular trends, and changes after migration". Endocrine Reviews. 24 (5): 668–693. doi:10.1210/er.2002-0019. PMID 14570750.
  16. ^ Langner S, Fleck S, Baldauf J, Mensel B, Kühn JP, Kirsch M (August 2017). "Diagnosis and Differential Diagnosis of Hydrocephalus in Adults". RoFo (in German). 189 (8): 728–739. doi:10.1055/s-0043-108550. PMID 28511266.
  17. ^ Dixon JF, Jones RO (June 2012). "Hydrocephalus-associated hearing loss and resolution after ventriculostomy". Otolaryngology–Head and Neck Surgery. 146 (6): 1037–1039. doi:10.1177/0194599811431234. PMID 22166958. S2CID 38240969.
  18. ^ Satzer D, Guillaume DJ (January 2016). "Hearing loss in hydrocephalus: a review, with focus on mechanisms". Neurosurgical Review. 39 (1): 13–24, discussion 25. doi:10.1007/s10143-015-0650-2. PMID 26280639. S2CID 24439157.
  19. ^ Kim M, Park SW, Lee JY, Kim H, Rhim JH, Park S, et al. (July 2021). "Differences in Brain Morphology between Hydrocephalus Ex Vacuo and Idiopathic Normal Pressure Hydrocephalus". Psychiatry Investigation. 18 (7): 628–635. doi:10.30773/pi.2020.0352. PMC 8328827. PMID 34265199.
  20. ^ Apostolova LG, Green AE, Babakchanian S, Hwang KS, Chou YY, Toga AW, et al. (January 2012). "Hippocampal atrophy and ventricular enlargement in normal aging, mild cognitive impairment (MCI), and Alzheimer Disease". Alzheimer Disease and Associated Disorders. 26 (1): 17–27. doi:10.1097/WAD.0b013e3182163b62. PMC 3286134. PMID 22343374.
  21. ^ Koleva M, De Jesus O (2025). "Hydrocephalus". StatPearls. Treasure Island (FL): StatPearls Publishing. PMID 32809710. Retrieved 15 January 2025.
  22. ^ a b Karimy JK, Reeves BC, Damisah E, Duy PQ, Antwi P, David W, et al. (May 2020). "Inflammation in acquired hydrocephalus: pathogenic mechanisms and therapeutic targets". Nature Reviews. Neurology. 16 (5): 285–296. doi:10.1038/s41582-020-0321-y. PMC 7375440. PMID 32152460.
  23. ^ a b c Liu XY, Song X, Czosnyka M, Robba C, Czosnyka Z, Summers JL, et al. (August 2024). "Congenital hydrocephalus: a review of recent advances in genetic etiology and molecular mechanisms". Military Medical Research. 11 (1) 54. doi:10.1186/s40779-024-00560-5. PMC 11318184. PMID 39135208.{{cite journal}}: CS1 maint: overridden setting (link)
  24. ^ "The Hydrocephalus Association". Archived from the original on 20 August 2006.
  25. ^ Hidalgo JA, Tork CA, Varacallo MA (2025). "Arnold-Chiari Malformation". StatPearls. Treasure Island (FL): StatPearls Publishing. PMID 28613730. Retrieved 23 January 2025.
  26. ^ Zamora EA, Das JM, Ahmad T (2025). "Dandy-Walker Malformation". StatPearls. Treasure Island (FL): StatPearls Publishing. PMID 30855785. Retrieved 23 January 2025.
  27. ^ Singh R, Munakomi S (2025). "Embryology, Neural Tube". StatPearls. Treasure Island (FL): StatPearls Publishing. PMID 31194425. Retrieved 23 January 2025.
  28. ^ Norkett W, McLone DG, Bowman R (September 2016). "Current Management Strategies of Hydrocephalus in the Child With Open Spina Bifida". Topics in Spinal Cord Injury Rehabilitation. 22 (4): 241–246. doi:10.1310/sci2204-241. PMC 5108507. PMID 29339864.
  29. ^ "Acquired Hydrocephalus | Conditions & Treatments". ucsfbenioffchildrens.org. UCSF Benioff Children's Hospital. Retrieved 9 April 2020.
  30. ^ a b Wang C, Bai J, He Q, Jiao Y, Zhang W, Huo R, et al. (June 2024). "Therapy management and outcome of acute hydrocephalus secondary to intraventricular hemorrhage in adults". Chinese Neurosurgical Journal. 10 (1) 17. doi:10.1186/s41016-024-00369-0. PMC 11149196. PMID 38831472.{{cite journal}}: CS1 maint: overridden setting (link)
  31. ^ Yadav YR, Mukerji G, Shenoy R, Basoor A, Jain G, Nelson A (January 2007). "Endoscopic management of hypertensive intraventricular haemorrhage with obstructive hydrocephalus". BMC Neurology. 7 1. doi:10.1186/1471-2377-7-1. PMC 1780056. PMID 17204141.{{cite journal}}: CS1 maint: overridden setting (link)
  32. ^ a b c d Passos-Neto CE, Lopes CC, Teixeira MS, Studart Neto A, Spera RR (May 2022). "Normal pressure hydrocephalus: an update". Arquivos de Neuro-Psiquiatria. 80 (5 Suppl 1): 42–52. doi:10.1590/0004-282x-anp-2022-s118. PMC 9491444. PMID 35976308.{{cite journal}}: CS1 maint: overridden setting (link)
  33. ^ Adunka O, Buchman C (11 October 2010). Otology, Neurotology, and Lateral Skull Base Surgery: An Illustrated Handbook. Thieme. pp. 353–. ISBN 978-3-13-149621-8. Archived from the original on 5 July 2014. Retrieved 12 August 2013.
  34. ^ Nimjee SM, Powers CJ, McLendon RE, Grant GA, Fuchs HE (April 2010). "Single-stage bilateral choroid plexectomy for choroid plexus papilloma in a patient presenting with high cerebrospinal fluid output". Journal of Neurosurgery. 5 (4): 342–345. doi:10.3171/2009.10.peds08454. PMID 20367337.{{cite journal}}: CS1 maint: overridden setting (link)
  35. ^ a b Hladky SB, Barrand MA (July 2024). "Regulation of brain fluid volumes and pressures: basic principles, intracranial hypertension, ventriculomegaly and hydrocephalus". Fluids and Barriers of the CNS. 21 (1) 57. doi:10.1186/s12987-024-00532-w. PMC 11253534. PMID 39020364.
  36. ^ a b Bramall AN, Anton ES, Kahle KT, Fecci PE (April 2022). "Navigating the ventricles: Novel insights into the pathogenesis of hydrocephalus". eBioMedicine. 78 103931. doi:10.1016/j.ebiom.2022.103931. PMC 8933686. PMID 35306341.{{cite journal}}: CS1 maint: overridden setting (link)
  37. ^ a b c Leinonen V, Vanninen R, Rauramaa T (2018). "Cerebrospinal fluid circulation and hydrocephalus". Handbook of Clinical Neurology. Vol. 145. Elsevier. pp. 39–50. doi:10.1016/b978-0-12-802395-2.00005-5. ISBN 978-0-12-802395-2. PMID 28987185. Retrieved 15 January 2025.
  38. ^ a b Proulx ST (March 2021). "Cerebrospinal fluid outflow: a review of the historical and contemporary evidence for arachnoid villi, perineural routes, and dural lymphatics". Cellular and Molecular Life Sciences. 78 (6): 2429–2457. doi:10.1007/s00018-020-03706-5. PMC 8004496. PMID 33427948.
  39. ^ Cabot RC (1919). Physical diagnosis (7th ed.). New York: William Wood and Company. p. 5 – via Google Books.
  40. ^ Satzer D, Guillaume DJ (January 2016). "Hearing loss in hydrocephalus: a review, with focus on mechanisms". Neurosurgical Review. 39 (1): 13–24, discussion 25. doi:10.1007/s10143-015-0650-2. PMID 26280639.
  41. ^ a b c Lim HW, Shim BS, Yang CJ, Kim JH, Cho YH, Cho YS, et al. (August 2014). "Hearing loss following ventriculoperitoneal shunt in communicating hydrocephalus patients: a pilot study". The Laryngoscope. 124 (8): 1923–1927. doi:10.1002/lary.24553. PMID 24318317. S2CID 24667376.{{cite journal}}: CS1 maint: overridden setting (link)
  42. ^ Verma M, Singh J, Singh I, Kakkar V, Yadav SP, George JS (November 2019). "To Evaluate the Pre and Post Shunt Sensorineural Hearing Loss in Hydrocephalus Patients". Indian Journal of Otolaryngology and Head and Neck Surgery. 71 (Suppl 2): 1314–1319. doi:10.1007/s12070-018-1372-x. PMC 6841878. PMID 31750171.{{cite journal}}: CS1 maint: overridden setting (link)
  43. ^ "Hydrocephalus: Causes, symptoms, and treatments". medicalnewstoday.com. 7 December 2017. Retrieved 18 May 2022.
  44. ^ a b c Mirkhaef SA, Harbaugh L, Nagra G (September 2024). "Hydrocephalus: A Review of Etiology-Driven Treatment Strategies". Cureus. 16 (9): e68516. doi:10.7759/cureus.68516. PMC 11448269. PMID 39364470.
  45. ^ Kaye A, Fox C, Diaz J (2014). Essentials of Pediatric Anesthesiology. Cambridge University Press. p. 106.
  46. ^ Das JM, Biagioni MC (2025). "Normal Pressure Hydrocephalus". StatPearls. Treasure Island (FL): StatPearls Publishing. PMID 31194404. Retrieved 21 January 2025.
  47. ^ Martin BA, Loth F (December 2009). "The influence of coughing on cerebrospinal fluid pressure in an in vitro syringomyelia model with spinal subarachnoid space stenosis". Cerebrospinal Fluid Research. 6 (1) 17. doi:10.1186/1743-8454-6-17. PMC 2806373. PMID 20043856.
  48. ^ a b Navaei AA, Hanaei S, Habibi Z, Jouibari MF, Heidari V, Naderi S, et al. (December 2018). "Controlled Trial to Compare Therapeutic Efficacy of Endoscopic Third Ventriculostomy Plus Choroid Plexus Cauterization with Ventriculoperitoneal Shunt in Infants with Obstructive Hydrocephalus". Asian Journal of Neurosurgery. 13 (4): 1042–1047. doi:10.4103/ajns.AJNS_63_17. PMC 6208245. PMID 30459864.{{cite journal}}: CS1 maint: overridden setting (link)
  49. ^ a b Bue EL, Morello A, Bellomo J, Bradaschia L, Lacatena F, Colonna S, et al. (August 2024). "Ventriculoatrial shunt remains a safe surgical alternative for hydrocephalus: a systematic review and meta-analysis". Scientific Reports. 14 (1) 18460. Bibcode:2024NatSR..1418460B. doi:10.1038/s41598-024-62366-8. PMC 11310213. PMID 39117692.
  50. ^ a b Ho YJ, Chiang WC, Huang HY, Lin SZ, Tsai ST (March 2023). "Effectiveness and safety of ventriculoperitoneal shunt versus lumboperitoneal shunt for communicating hydrocephalus: A systematic review and meta-analysis with trial sequential analysis". CNS Neuroscience & Therapeutics. 29 (3): 804–815. doi:10.1111/cns.14086. PMC 9928545. PMID 36650662.{{cite journal}}: CS1 maint: overridden setting (link)
  51. ^ a b "An American surgeon pioneers surgery for kids in Uganda that helps kids in the US". Public Radio International. 22 April 2015. Archived from the original on 2 March 2016. Retrieved 10 February 2016.
  52. ^ a b Burton A (August 2015). "Infant hydrocephalus in Africa: spreading some good news". The Lancet. Neurology. 14 (8): 789–790. doi:10.1016/S1474-4422(15)00138-6. PMID 26091960. S2CID 35920581.
  53. ^ a b Khosroshahi N, Nikkhah A (Autumn 2018). "Benign Enlargement of Subarachnoid Space in Infancy: 'A Review with Emphasis on Diagnostic Work-Up'". Iranian Journal of Child Neurology. 12 (4): 7–15. PMC 6160631. PMID 30279704.
  54. ^ a b Zahl SM, Egge A, Helseth E, Wester K (October 2011). "Benign external hydrocephalus: a review, with emphasis on management". Neurosurgical Review. 34 (4): 417–432. doi:10.1007/s10143-011-0327-4. PMC 3171652. PMID 21647596.
  55. ^ Greenberg MS (15 February 2010). Handbook of Neurosurgery. Thieme. ISBN 9781604063264. Archived from the original on 8 July 2023.
  56. ^ "Subdural Hematomas in the Elderly: The Great Neurological Imitator". reliasmedia.com. 1 March 2000. Retrieved 17 May 2022.
  57. ^ Ravid S, Maytal J (February 2003). "External hydrocephalus: a probable cause for subdural hematoma in infancy". Pediatric Neurology. 28 (2): 139–141. doi:10.1016/s0887-8994(02)00500-3. PMID 12699866.
  58. ^ a b Tervonen J, Leinonen V, Jääskeläinen JE, Koponen S, Huttunen TJ (May 2017). "Rate and Risk Factors for Shunt Revision in Pediatric Patients with Hydrocephalus-A Population-Based Study". World Neurosurgery. 101: 615–622. doi:10.1016/j.wneu.2017.02.030. PMID 28213196.{{cite journal}}: CS1 maint: overridden setting (link)
  59. ^ Benner KW, Spellen S, Jeske A. "Pharmacology of Shunt Infections". uspharmacist.com. Retrieved 18 May 2022.
  60. ^ Hasanain AA, Abdullah A, Alsawy MF, Soliman MA, Ghaleb AA, Elwy R, et al. (January 2019). "Incidence of and Causes for Ventriculoperitoneal Shunt Failure in Children Younger Than 2 Years: A Systematic Review". Journal of Neurological Surgery. Part A, Central European Neurosurgery. 80 (1): 26–33. doi:10.1055/s-0038-1669464. PMID 30508865.{{cite journal}}: CS1 maint: overridden setting (link)
  61. ^ a b c Krishnan SR, Arafa HM, Kwon K, Deng Y, Su CJ, Reeder JT, et al. (6 March 2020). "Continuous, noninvasive wireless monitoring of flow of cerebrospinal fluid through shunts in patients with hydrocephalus". npj Digital Medicine. 3 (1) 29. doi:10.1038/s41746-020-0239-1. PMC 7060317. PMID 32195364.{{cite journal}}: CS1 maint: overridden setting (link)
  62. ^ a b Pudenz RH, Foltz EL (March 1991). "Hydrocephalus: overdrainage by ventricular shunts. A review and recommendations". Surgical Neurology. 35 (3): 200–212. doi:10.1016/0090-3019(91)90072-H. PMID 1996449.
  63. ^ Nagahama Y, Peters D, Kumonda S, Vesole A, Joshi C, J Dlouhy B, et al. (24 January 2017). "Delayed diagnosis of shunt overdrainage following functional hemispherotomy and ventriculoperitoneal shunt placement in a hemimegalencephaly patient". Epilepsy & Behavior Case Reports. 7: 34–36. doi:10.1016/j.ebcr.2016.12.003. PMC 5357741. PMID 28348960.{{cite journal}}: CS1 maint: overridden setting (link)
  64. ^ a b c Ros B, Iglesias S, Linares J, Cerro L, Casado J, Arráez MA (August 2021). "Shunt Overdrainage: Reappraisal of the Syndrome and Proposal for an Integrative Model". Journal of Clinical Medicine. 10 (16): 3620. doi:10.3390/jcm10163620. PMC 8396927. PMID 34441916.
  65. ^ a b c Paff M, Alexandru-Abrams D, Muhonen M, Loudon W (1 September 2018). "Ventriculoperitoneal shunt complications: A review". Interdisciplinary Neurosurgery. 13: 66–70. doi:10.1016/j.inat.2018.04.004. ISSN 2214-7519.
  66. ^ a b c Simon TD, Schaffzin JK, Stevenson CB, Willebrand K, Parsek M, Hoffman LR (March 2019). "Cerebrospinal Fluid Shunt Infection: Emerging Paradigms in Pathogenesis that Affect Prevention and Treatment". The Journal of Pediatrics. 206: 13–19. doi:10.1016/j.jpeds.2018.11.026. PMC 6389391. PMID 30528757.
  67. ^ Robinson JL, Freire D, Bialy L (December 2020). "Treatment strategies for cerebrospinal shunt infections: a systematic review of observational studies". BMJ Open. 10 (12): e038978. doi:10.1136/bmjopen-2020-038978. PMC 7733168. PMID 33303443.
  68. ^ Yang MM, Hader W, Bullivant K, Brindle M, Riva-Cambrin J (May 2019). "Calgary Shunt Protocol, an adaptation of the Hydrocephalus Clinical Research Network shunt protocol, reduces shunt infections in children". Journal of Neurosurgery. Pediatrics. 23 (5): 559–567. doi:10.3171/2018.10.PEDS18420. PMID 30797206. S2CID 73507028.
  69. ^ Kestle JR, Riva-Cambrin J, Wellons JC, Kulkarni AV, Whitehead WE, Walker ML, et al. (July 2011). "A standardized protocol to reduce cerebrospinal fluid shunt infection: the Hydrocephalus Clinical Research Network Quality Improvement Initiative". Journal of Neurosurgery. Pediatrics. 8 (1): 22–29. doi:10.3171/2011.4.PEDS10551. PMC 3153415. PMID 21721884.
  70. ^ Arts SH, Boogaarts HD, van Lindert EJ (June 2019). "Route of antibiotic prophylaxis for prevention of cerebrospinal fluid-shunt infection". The Cochrane Database of Systematic Reviews. 6 (6): CD012902. doi:10.1002/14651858.CD012902.pub2. PMC 6548496. PMID 31163089.
  71. ^ a b c Datta D, Sekar A, Guruprasad N, Bansal S (September 2022). "Shunt Migration in Children: A Patient Level Systematic Review of Risk Factors and Outcome". Neurology India. 70 (5): 1780–1786. doi:10.4103/0028-3886.359270. PMID 36352565.
  72. ^ a b Adel K, Fayçal A, Toufik B, Abdelhalim M (April 2024). "Bowel perforation and anal ventriculoperitoneal shunt migration: A systematic review". Journal of Taibah University Medical Sciences. 19 (2): 263–269. doi:10.1016/j.jtumed.2023.12.002. PMC 10792256. PMID 38234714.
  73. ^ Sammons VJ, Jacobson E, Lawson J (October 2009). "Resolution of hydrocephalus-associated sensorineural hearing loss after insertion of ventriculoperitoneal shunt". Journal of Neurosurgery. Pediatrics. 4 (4): 394–396. doi:10.3171/2009.4.PEDS09103. PMID 19795973.
  74. ^ a b c d e Gili JA, López-Camelo JS, Nembhard WN, Bakker M, de Walle HE, Stallings EB, et al. (July 2022). "Analysis of early neonatal case fatality rate among newborns with congenital hydrocephalus, a 2000-2014 multi-country registry-based study". Birth Defects Research. 114 (12): 631–644. doi:10.1002/bdr2.2045. PMC 9288486. PMID 35633200.
  75. ^ Tullberg M, Toma AK, Yamada S, Laurell K, Miyajima M, Watkins LD, et al. (March 2024). "Classification of Chronic Hydrocephalus in Adults: A Systematic Review and Analysis". World Neurosurgery. 183: 113–122. doi:10.1016/j.wneu.2023.12.094. PMID 38143036.
  76. ^ Cinalli G (2019). "History of Hydrocephalus and Its Surgical Treatment". In Cinalli G, Özek MM, Sainte-Rose C (eds.). Pediatric Hydrocephalus. Cham: Springer International Publishing. p. 3. doi:10.1007/978-3-319-27250-4. ISBN 978-3-319-27248-1. S2CID 128359318.
  77. ^ a b c d e f g h i Aschoff A, Kremer P, Hashemi B, Kunze S (October 1999). "The scientific history of hydrocephalus and its treatment". Neurosurgical Review. 22 (2–3): 67–93, discussion 94–5. doi:10.1007/s101430050035. PMID 10547004. S2CID 10077885.
  78. ^ a b c d e Demerdash A, Singh R, Loukas M, Tubbs RS (March 2016). "A historical glimpse into treating childhood hydrocephalus". Child's Nervous System. 32 (3): 405–407. doi:10.1007/s00381-015-2652-3. PMID 25707482.
  79. ^ a b c Lifshutz JI, Johnson WD (August 2001). "History of hydrocephalus and its treatments". Neurosurgical Focus. 11 (2): 1–5. doi:10.3171/foc.2001.11.2.2. PMID 16602674.
  80. ^ Åhrén E (2009). Death, Modernity, and the Body: Sweden 1870-1940. Rochester, New York: University of Rochester Press. p. 53. ISBN 9781580463126.
  81. ^ "Learn About the Hydrocephalus Association | Mission & Vision". hydroassoc.org. Retrieved 23 January 2025.
  82. ^ "About Us – Hydrocephalus education, support and resources". NHFOnline.org. National Hydrocephalus Foundation. Retrieved 23 January 2025.
  83. ^ "About PHF". hydrocephaluskids.org. Retrieved 23 January 2025.
  84. ^ "Oilers forward Colby Cave dies after suffering brain bleed". CBC. 11 April 2020. Retrieved 4 May 2021.
  85. ^ Williams ST. "Man of many tribes". Star Tribune. Archived from the original on 20 May 2013. Retrieved 29 January 2014.
  86. ^ Somerset A (2012). Queen Anne: the politics of passion. London: HarperCollins. p. 116. ISBN 978-0-00-720376-5.
  87. ^ "Waiting for the Executioner in 1848 Austria Regime change and the case for clemency". Minda de Gunzburg Center for European Studies. Retrieved 23 January 2025.
  88. ^ "Danny Bonaduce's "Mystery Illness" Explained". hydroassoc.org. Hydrocephalus Association. 6 June 2023. Retrieved 23 January 2025.
  89. ^ Turliuc MD, Cucu AI, Perciaccante A, Tosolini G, De Luca S, Costachescu B, et al. (21 May 2019). "Hydrocephalus of King Charles II of Spain, the Bewitched King". European Neurology. 81 (1–2): 76–78. doi:10.1159/000500719. PMID 31112979.{{cite journal}}: CS1 maint: overridden setting (link)
  90. ^ "Thai King Bhumibol recovering from 'water on brain'". bbc.com. BBC News. 11 August 2015. Retrieved 23 January 2025.
  91. ^ Coscarelli J (23 May 2025). "Billy Joel Announces Brain Disorder and Cancels All Concerts". The New York Times.